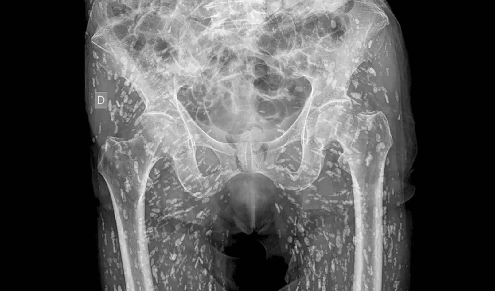
Αντιμέτωπος με μια τρομακτική ανακάλυψη ήρθε ένας άνδρας, όταν διαπίστωσε ότι το σώμα του ήταν γεμάτο από αυγά του παράσιτου tapeworm, όταν μια ακτινογραφία αποκάλυψε εκατοντάδες οζίδια που θύμιζαν κόκκους ρυζιού.
Αυτά τα οζίδια αποδείχθηκαν να είναι κύστες, αποτέλεσμα μιας παρασιτικής λοίμωξης. Ο γιατρός Σαμ Γκάλι στη Φλόριντα, ανέβασε την τρομακτική εικόνα στα μέσα κοινωνικής δικτύωσης, χαρακτηρίζοντας την ως μία από τις «πιο τρελές ακτινογραφίες» που είχε δει ποτέ.
Σύμφωνα με τον γιατρό, οι κύστες αναπτύχθηκαν στον ασθενή μετά την κατανάλωση ωμού ή ανεπαρκώς μαγειρεμένου χοιρινού, το οποίο περιείχε προνύμφες tapeworm. Οι προνύμφες, αφού εισέλθουν στους ιστούς του σώματος, σχηματίζουν κύστες που μπορεί να σαπίσουν και να προκαλέσουν λοιμώξεις.
Ο ασθενής, του οποίου το όνομα δεν έχει γνωστοποιηθεί, δεν είχε συνειδητοποιήσει την κατάσταση και είχε πάει στο νοσοκομείο για μια ακτινογραφία λόγω ενός άσχετου τραυματισμού από πτώση.
Ο Γκάλι, σε κατάσταση σοκ, δήλωσε σε βίντεο που έγινε viral και έχει συγκεντρώσει περίπου 15 εκατομμύρια προβολές: «Είναι παντού [οι κύστες] και είναι αναρίθμητες, δεν μπορείτε καν να αρχίσετε να τις μετράτε όλες».
Ο γιατρός εξήγησε ότι αυτές οι κύστες μπορεί να μετακινηθούν σε διάφορα μέρη του σώματος, και ότι σε αυτή την περίπτωση είχαν «ταξιδέψει» κυρίως στους μαλακούς ιστούς της λεκάνης και των ποδιών του ασθενούς.
Here’s a video I made breaking down one of the most insane X-Rays I’ve ever seen#FOAMed pic.twitter.com/wp8xtGFTV5
— Sam Ghali, M.D. (@EM_RESUS) January 16, 2025
Η μόλυνση από την Taenia solium συμβαίνει όταν κάποιος καταναλώσει αυγά tapeworm μέσω μολυσμένου ή ακατέργαστου χοιρινού κρέατος. Οι κύστες που σχηματίζονται στους ιστούς του σώματος προκαλούν τη λοίμωξη κυστικέρκωση, η οποία είναι ιδιαίτερα επικίνδυνη όταν επηρεάζει τον εγκέφαλο ή το νευρικό σύστημα, σε μια κατάσταση γνωστή ως νευροκυστικέρκωση.
Τα αυγά αυτά μπορεί επίσης να ωριμάσουν σε ενήλικους σκώληκες σε διάστημα περίπου δύο μηνών. Η κυστικέρκωση και η νευροκυστικέρκωση είναι πιο συχνές σε αγροτικές περιοχές, κυρίως στην Αφρική, την Ασία και τη Λατινική Αμερική.
Ο γιατρός Γκάλι σημείωσε ότι ενώ η κυστικέρκωση δεν είναι σε όλες τις περιπτώσεις επικίνδυνη, σε κάποιες μπορεί να είναι θανατηφόρα. Εκτιμάται ότι περίπου 50 εκατομμύρια άνθρωποι παγκοσμίως μολύνονται ετησίως, με περίπου 50.000 ανθρώπους να καταλήγουν.
«Το ηθικό δίδαγμα της ιστορίας είναι να κάνετε το καλύτερο δυνατό για να παραμένετε καθαροί, να πλένετε πάντα τα χέρια σας και ποτέ, ποτέ να μην τρώτε ωμό ή ανεπαρκώς μαγειρεμένο χοιρινό», τόνισε ο γιατρός.
Moral of the story:
Always do your best to keep clean, wash your hands, and never, ever, under any circumstances eat raw or undercooked pork https://t.co/68z3ffW8Uo
— Sam Ghali, M.D. (@EM_RESUS) January 19, 2025
Παρά την ακτινογραφία-σοκ του συγκεκριμένου ασθενούς, υπάρχουν πολλές άλλες καταγεγραμμένες περιπτώσεις παρόμοιων μολύνσεων σε όλο τον κόσμο, με μια από αυτές να καταγράφηκε στη Βραζιλία το 2023. Όπως και ο γιατρός Γκάλι, ο Βραζιλιάνος ιατρός είχε προειδοποιήσει: «Δεν θέλεις να το πάθεις; Πλύνε καλά το φαγητό σου πριν το καταναλώσεις».
