Τα ζώα έχουν αναπτύξει μια εντυπωσιακή γκάμα στρατηγικών για να αποφεύγουν τις επιθέσεις των θηρευτών τους, ωστόσο, μια πρόσφατη έρευνα από το Πανεπιστήμιο του Ναγκασάκι αποκαλύπτει ένα πρωτοφανές φαινόμενο που ξεπερνά κάθε γνωστό μηχανισμό επιβίωσης: τα ιαπωνικά χέλια μπορούν να ξεφύγουν από το στομάχι των θηρευτών τους, παίρνοντας… τον δρόμο της επιστροφής από το πεπτικό σύστημα του θηρευτή και βγαίνοντας ζωντανά από τα βράγχια του.
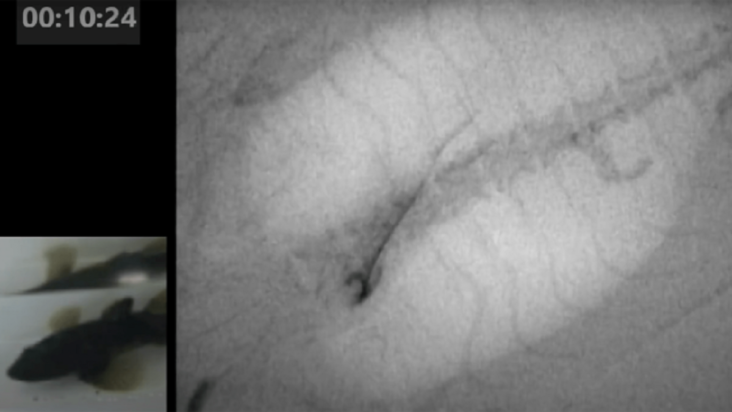
Η ανακάλυψη αυτή ήρθε στο φως μέσω μιας πρωτοποριακής μεθόδου ακτινοσκόπησης, που επέτρεψε στους επιστήμονες για πρώτη φορά να καταγράψουν σε βίντεο -με τη βοήθεια ακτίνων Χ- τις κινήσεις του χελιού μέσα στο σώμα του θηρευτή του. H επικεφαλής της έρευνας, καθηγήτρια Yuuki Kawabata, περιέγραψε με ενθουσιασμό τη σκηνή που αντίκρυσαν. «Αντίθετα με τις προσδοκίες μας, το να δούμε την απεγνωσμένη απόδραση των χελιών από το στομάχι του θηρευτή προς τα βράγχια ήταν πραγματικά συγκλονιστικό», δήλωσε στη MailOnline.
Πώς το χέλι ξέφυγε από τον θάνατο
Όμως η έρευνα αυτή δεν ξεκίνησε από το μηδέν. Σε προηγούμενες μελέτες, η ομάδα της Kawabata είχε παρατηρήσει ότι ορισμένα νεαρά ιαπωνικά χέλια μπορούσαν να διαφύγουν από το στομάχι των ψαριών, αλλά μέχρι πρόσφατα δεν ήταν ξεκάθαρο πώς τα κατάφερναν. Για να επιλύσουν αυτό το μυστήριο, οι επιστήμονες ανέπτυξαν μια νέα μέθοδο ακτινοσκόπησης, κατά την οποία τα χέλια δέχθηκαν ένεση με βαρύ θειικό βάριο, ένα χημικό που έκανε τα κόκαλά τους ορατά στις ακτίνες Χ. Έπειτα, τα τάισαν σε ένα αρπακτικό ψάρι, γνωστό ως «odontobutis obscura», ή αλλιώς «σκοτεινός ύπνος», για να παρακολουθήσουν τι θα συμβεί.
主著2本目となる渾身の論文が出版されました!
皆さんご存知のウナギが、なんと捕食魚に食べられた後にその胃の中から消化管内を遡ってエラの隙間から脱出する、という衝撃の捕食回避行動を明らかにしました。
是非、ウナギが食べられてから脱出するまでの驚きの大脱走劇(X線映像)をご覧ください! pic.twitter.com/PZ5U9VSPa7
— Yuha (@Anguilla_3_) September 10, 2024
Η συμπεριφορά των χελιών ήταν εντυπωσιακή. Όταν το ψάρι καταβρόχθιζε ολόκληρο το χέλι, όπως κάνουν συνήθως τα αρπακτικά ψάρια, οι ερευνητές παρατήρησαν ότι το χέλι δεν παρέμενε αδρανές μέσα στο στομάχι του θηρευτή. Αντί να πεθάνει λόγω της έλλειψης οξυγόνου και των υψηλών οξέων του στομάχου, κατά μέσο όρο σε 211 δευτερόλεπτα, το χέλι ξεκινούσε μια απίστευτη διαδικασία απόδρασης. Το βίντεο που κατέγραψαν οι επιστήμονες έδειξε ότι τα χέλια, αντί να κατευθυνθούν πίσω στο στόμα του ψαριού, χρησιμοποιούσαν την ουρά τους για να σπρώξουν το σώμα τους μέσα στον οισοφάγο και τελικά να βγουν από τα βράγχια του ψαριού.
«Το πιο εκπληκτικό κομμάτι αυτής της έρευνας ήταν όταν παρατηρήσαμε για πρώτη φορά ότι τα χέλια κατάφερναν να διαφύγουν, όχι από το στόμα, αλλά από τα βράγχια του θηρευτή τους», δήλωσε η Kawabata.
Στην εργασία τους, που δημοσιεύθηκε στο επιστημονικό περιοδικό Current Biology, η ερευνητική ομάδα κατέγραψε ότι από τα 32 χέλια που συμμετείχαν στο πείραμα, όλα, εκτός από τέσσερα, προσπάθησαν να διαφύγουν από το πεπτικό σύστημα του αρπακτικού ψαριού. Από αυτά, τα 13 κατάφεραν να ελευθερώσουν την ουρά τους και 9 κατάφεραν να διαφύγουν πλήρως. Σε διάστημα μόλις 56 δευτερολέπτων από τη στιγμή της κατάποσης, τα περισσότερα χέλια είχαν ήδη διαφύγει από τα βράγχια του θηρευτή και κολυμπούσαν μακριά.
Η «κυκλική» κίνηση των χελιών γύρω από το στομάχι του θηρευτή τους
Μια ενδιαφέρουσα συμπεριφορά που παρατηρήθηκε ήταν η «κυκλική» κίνηση των χελιών γύρω από το στομάχι του θηρευτή τους, σαν να έψαχναν τρόπο διαφυγής. Μόνο όσα χέλια κατάφεραν να προωθήσουν την ουρά τους μέσα στον οισοφάγο ήταν αυτά που τελικά απέφυγαν τον θάνατο. Ο δρ Yuha Hasegawa, συν-συγγραφέας της μελέτης, δήλωσε πως τα χέλια ίσως εκμεταλλεύονται τη φυσική ροή νερού που προκαλεί το ψάρι όταν προσπαθεί να τα καταπιεί ξανά, για να διευκολύνουν τη διαφυγή τους μέσω των βραγχίων.
Ενδιαφέρον παρουσιάζει και το γεγονός ότι οι θηρευτές δεν φαίνεται να τραυματίζονται από αυτή την εντυπωσιακή απόδραση. Επιπλέον, η έρευνα έδειξε πως τα μεγαλύτερα χέλια είχαν μεγαλύτερα ποσοστά επιτυχημένης απόδρασης, υποδηλώνοντας ότι η ανάπτυξη μυϊκής δύναμης και αντοχής είναι κρίσιμη για την επιβίωση των νεαρών χελιών.
«Αυτή η ανακάλυψη μας προσέφερε νέες γνώσεις: η μυϊκή δύναμη, η αντοχή σε όξινα και περιβάλλοντα χωρίς οξυγόνο, καθώς και η μακριά και ολισθηρή μορφολογία των χελιών είναι απαραίτητες για να διαφύγουν γρήγορα από το πεπτικό σύστημα πριν προλάβουν να χωνευτούν», πρόσθεσε ο Hasegawa.
Αυτή η μελέτη ανοίγει τον δρόμο για μελλοντική έρευνα σε παρόμοιους μηχανισμούς διαφυγής άλλων ειδών, καθώς οι επιστήμονες ελπίζουν ότι η νέα τεχνολογία ακτινοσκόπησης που ανέπτυξαν θα συμβάλει στην καλύτερη κατανόηση του πώς τα θηράματα μπορούν να επιβιώσουν μετά την κατάποσή τους από τους θηρευτές.
