Οι γιατροί στο Λίβανο βρήκαν μια απίστευτα σπάνια πέτρα κόλπου – στο μέγεθος ενός πορτοκαλιού – σφηνωμένη στη λεκάνη μιας γυναίκας. Μια πρόσφατη μελέτη περίπτωσης που δημοσιεύτηκε στο Urology Case Reports περιέγραψε την εκπληκτική ανακάλυψη — σε αυτή την περίπτωση, σε μια 27χρονη κατάκοιτη γυναίκα με εγκεφαλική παράλυση.
Οι πέτρες στον κόλπο μπορούν να σχηματιστούν με δύο τρόπους: όταν η συσσώρευση ούρων στον κόλπο κρυσταλλώνεται ή όταν μια μη θεραπευμένη βακτηριακή λοίμωξη προκαλεί τη σκλήρυνση των ούρων.
Στη συγκεκριμένη περίπτωση της 27χρονης δεν διαπιστώθηκε βακτηριακή λοίμωξη και η στασιμότητα των ούρων ήταν η κύρια αιτία. Η γυναίκα είχε ιστορικό ακράτειας ούρων, η οποία είναι συχνή σε άτομα με εγκεφαλική παράλυση και μπορεί να οδηγήσει σε διαρροή ούρων στον κόλπο.
SCIENCE DIRECT
Τα συμπτώματα παρατηρήθηκαν τρεις ημέρες πριν ο ασθενής μεταφερθεί εσπευσμένα στο νοσοκομείο. Είχε πυρετό, ρίγη, εμετούς, πόνους στην κοιλιά και μειωμένη όρεξη.
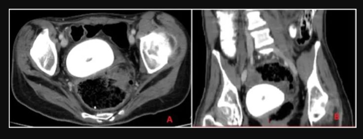
Η αξονική τομογραφία της λεκάνης και της κοιλιάς αποκάλυψε τον “ένοχο”. Οι κολπικές πέτρες «σχηματίζονται από την εναπόθεση ανόργανων αλάτων από στάσιμα ούρα μέσα στον κόλπο», σύμφωνα με μια ερευνητική εργασία του 2019 που δημοσιεύτηκε στο Medicine . Λόγω της σπανιότητας της πάθησης, είπαν οι ερευνητές, έχει γίνει συχνά λανθασμένη διάγνωση στο παρελθόν.
Ο σχηματισμός ήταν τόσο μεγάλος που πίεζε την κύστη της γυναίκας, κάτι που οδήγησε σε ακόμη μεγαλύτερη διαρροή ούρων.
Γιατροί από το Πανεπιστήμιο του Λιβάνου στη Βηρυτό διέλυσαν τον σχηματισμό με θεραπεία με λέιζερ μέσω κρουστικών κυμάτων υπερήχων από μια συσκευή που τοποθετήθηκε στην κοιλιά της γυναίκας.
Οι γιατροί στη συνέχεια χρησιμοποίησαν λαβίδες για να αφαιρέσουν τα θραύσματα σε μια διαδικασία τριών ωρών. Μετά την επέμβαση, η γυναίκα πήρε εξιτήριο και έλαβε αντιβίωση.
