Περίπου 40 τσίχλες κατάπιε ένα 5χρονο αγόρι στο Οχάιο των Ηνωμένων Πολιτειών και χρειάστηκε επέμβαση προκειμένου να αφαιρεθούν από το στομάχι του.
Σύμφωνα με την εφημερίδα New York Post, το παιδί είχε καταναλώσει περίπου 40 τσίχλες χωρίς ζάχαρη. Την επόμενη ημέρα παρουσίασε κράμπες στο στομάχι και διάρροια με αποτέλεσμα να καταλήξει στα επείγοντα νοσοκομείου.
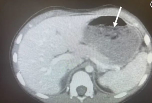
Οι γιατροί που εξέτασαν τον ανήλικο αμέσως έψαξαν για ξένα αντικείμενα στο στομάχι του, καθώς τα παιδιά συνηθίζουν να καταπίνουν αντικείμενα. Η ομάδα των γιατρών του 5χρονου εντόπισε στην ακτινογραφία μία τεράστια μάζα από τσίχλες, η οποία είχε φράξει το έντερο του παιδιού.
Με άκαμπτη οισοφαγοσκόπηση οι γιατροί αφαίρεσαν τμηματικά τις τσίχλες μέσω ενός μεταλλικού σωλήνα από τον οισοφάγο του παιδιού. Στη συνέχεια ο 5χρονος πήρε εξιτήριο από το νοσοκομείο χωρίς να έχει μακροπρόθεσμες επιπτώσεις στην υγεία του.
