Αυτός ο ερασιτέχνης μαραθωνοδρόμος έφτασε μέχρι τη γραμμή τερματισμού, όμως ένα πρόβλημα που αντιμετώπισε θα μπορούσε να του κοστίσει τη ζωή.
Ένας 44χρονος άνδρας από τη Σλοβακία είπε ότι εμφάνισε ένα επώδυνο εξόγκωμα στο πέος του την επόμενη μέρα μετά από τρέξιμο μεγάλης απόστασης, σύμφωνα με μια μελέτη που δημοσιεύτηκε στο Urology Case Reports.
Το εξόγκωμα αποδείχθηκε ότι ήταν ένας δυνητικά θανατηφόρος θρόμβος αίματος που θα μπορούσε να είχε εξαπλωθεί στους πνεύμονές του εάν δεν αντιμετωπιζόταν. Εκτός από το εξόγκωμα, ο άνδρας είπε ότι είχε στύσεις ξαφνικά, αλλά περίμενε δύο ημέρες μέχρι να ζητήσει ιατρική βοήθεια.
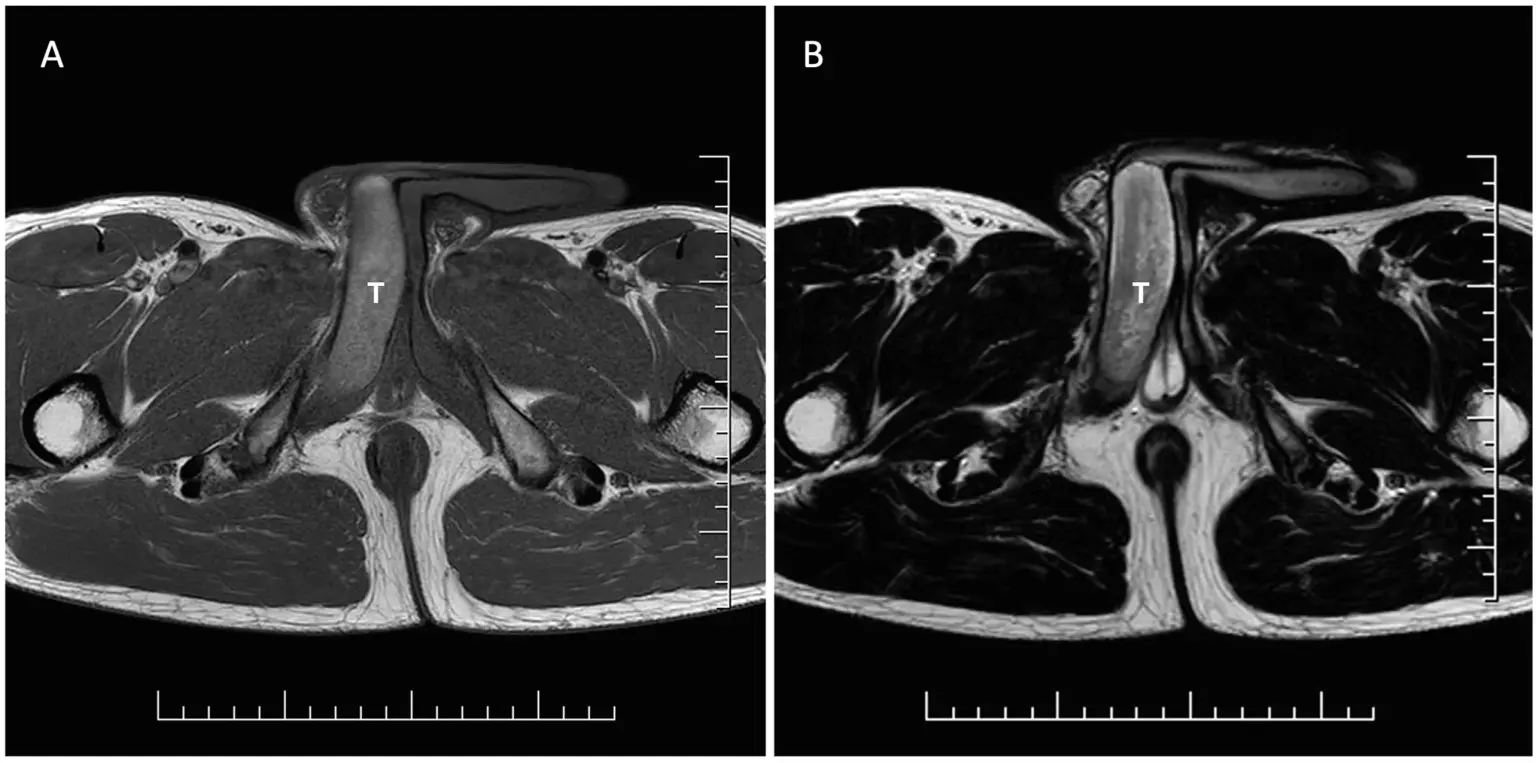
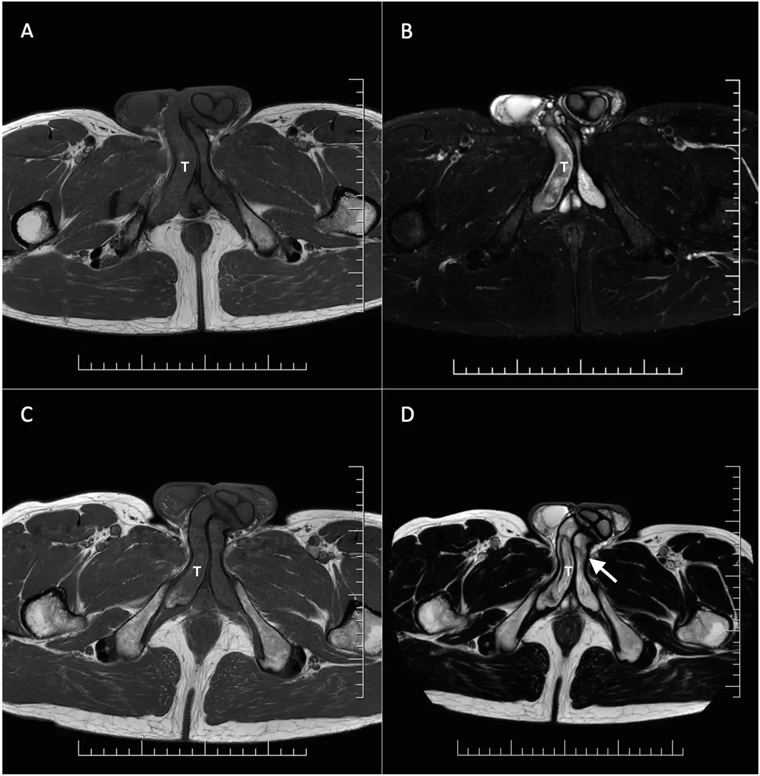
Μια μαγνητική τομογραφία από το νοσοκομείο Bory στη Μπρατισλάβα έδειξε ότι είχε θρόμβο αίματος πλάτους 18 χιλιοστών στα σηραγγώδη σώματα, που μπορούν να παρομοιαστούν με κυλίνδρους που γεμίζουν με αίμα και προκαλούν τη στύση
Του συνταγογράφησαν αντιπηκτικά και παυσίπονα και μια εβδομάδα αργότερα, ανέφερε ότι δεν πονούσε άλλο. Ωστόσο, ο θρόμβος παρέμεινε. Του χορηγήθηκε ενέσιμο φάρμακο για να μην μεγαλώσει ο θρόμβος και έξι μήνες αργότερα πράγματι μειώθηκε.

Ο σπάνιος θρόμβος
Τρία χρόνια αργότερα, ο θρόμβος του εξακολουθούσε να ανιχνεύεται αλλά δεν του προκαλούσε συμπτώματα. Ο θρόμβος στο σηραγγώδες σώμα είναι σπάνιος και έχει αναφερθεί μόνο 56 φορές, πιο συχνά σε άνδρες κάτω των 30 ετών.
Πράγματα όπως το τρέξιμο, η σεξουαλική δραστηριότητα, η κατάχρηση ναρκωτικών ή αλκοόλ και θέματα υγείας όπως η δρεπανοκυτταρική αναιμία, που χαρακτηρίζεται από έλλειψη ερυθρών αιμοσφαιρίων ή η θρομβοφιλία, θα μπορούσαν να προκαλέσουν έναν τέτοιον θρόμβο.
Παρόλο που μπορεί να σχηματιστούν θρόμβοι αίματος από την αδράνεια, και το υπερβολικό τρέξιμο μπορεί να οδηγήσει σε θρόμβους στα πόδια.
Μπορούν να προκληθούν από καταπόνηση ιστών και αφυδάτωση ή αδράνεια μετά την προπόνηση που μπορεί να προκαλέσει πήξη του αίματος.
Μερικές φορές οι γιατροί προχωρούν σε χειρουργική επέμβαση, αλλά τα παυσίπονα και τα αντιπηκτικά φάρμακα έχουν παρόμοιο αποτέλεσμα.

