Δεν είναι ασυνήθιστο για τους γιατρούς να πρέπει να αφαιρέσουν πολλά παράξενα αντικείμενα από το ανθρώπινο σώμα και μάλιστα από σημεία, που δεν θα περίμενε κανείς.
Ένα τέτοιο παράξενο ξένο σώμα που βρέθηκε πρόσφατα ήταν μια ολόκληρη μύγα που ανακαλύφθηκε μέσα στο παχύ έντερο ενός 63χρονου ασθενούς κατά τη διάρκεια μιας κολονοσκόπησης, όπως αποκάλυψε μία μελέτη περίπτωσης (case study) στο American Journal of Gastroenterology.
Οι γιατροί είχαν μπερδευτεί ως προς το πώς κατάφερε η μύγα να βρεθεί μέσα στο έντερο και από ποιο άκρο του πεπτικού συστήματος εισήλθε στο σώμα του ασθενούς, καθώς ο άνδρας είχε κάνει liquid diet (δηλαδή «υγρή» δίαιτα όπου τα τρόφιμα καταναλώνονται σε υγρή μορφή) πριν από τη διαδικασία.
Ωστόσο, άλλα παραδείγματα περίεργων αντικειμένων που αφαιρούνται από το σώμα δεν καλύπτονται από τόσο μυστήριο ως προς το τον τρόπο με τον οποίο το αντικείμενο κατάφερε να εισχωρήσει στο σώμα.
«Έχω μια συλλογή από ξένα σώματα που έχουν καταπιεί άνθρωποι (τυχαία ή μη), η οποία περιλαμβάνει ψαρόκοκαλα, κόκαλα κρέατος, καρφίτσες, παραμάνες, ξυραφάκια, γυαλί, μαχαίρια, πιρούνια, κουτάλια, αναπτήρες, κουμπιά, μπαταρίες, οδοντογλυφίδες, οδοντιατρικά είδη, φάρμακα που καταναλώνονται με τη συσκευασία…και τόσα άλλα», είπε στο Newsweek ο Xavier Dray, καθηγητής ιατρικής στο νοσοκομείο Saint-Antoine του Πανεπιστημίου της Σορβόννης στο Παρίσι, ο οποίος δεν συμμετείχε στη μελέτη.
«Τα ξένα σώματα (όπως sex toys που χάθηκαν κατά λάθος ή οτιδήποτε χρησιμοποιείται ως σεξουαλικό παιχνίδι…) είναι πολύ διαφορετικά. Οι χειρουργοί μερικές φορές τα συλλέγουν ως τρόπαια».
Αντικείμενα που αφαιρέθηκαν από τον πρωκτό
Αμέτρητα αντικείμενα έχουν ανακτηθεί από το ορθό ασθενών, από τηλεχειριστήρια τηλεόρασης μέχρι μπάλες μπιλιάρδου. Παρότι ο λόγος που αυτά τα αντικείμενα καταλήγουν εκεί είναι διαφορετικός σε κάθε περίπτωση, η ποικιλία είναι τεράστια, σύμφωνα με όσα έγραψε στο The Conversation ο Άνταμ Τέιλορ, διευθυντής του Κέντρου Εκμάθησης Κλινικής Ανατομίας στο Πανεπιστήμιο του Λάνκαστερ: μήλα, μελιτζάνες, βούρτσες, στυλό, καρότα, δοχεία φυτοφαρμάκων, κουτί αποσμητικού (που αποτελεί και κίνδυνο πυρκαγιάς κατά τη χειρουργική αφαίρεση), ποτήρι, μπουκάλια αεριούχων ποτών, μπάλα μπέιζμπολ και ίσως το πιο εντυπωσιακό είναι μια ολόκληρη καρύδα.
«Ως καθηγητής ανατομίας, συναντώ πολλές τέτοιες ιστορίες περίεργων πραγμάτων που βρίσκονται μέσα στους ανθρώπους. Ξένα σώματα, τα λέμε». Σε μία περίπτωση που αναφέρθηκε στη δεκαετία του 1970, ένας άνδρας ταξίδεψε σε όλο τον κόσμο με έναν πλαστικό δονητή μέσα στο ορθό του για 6 μήνες.
Αυτά τα αντικείμενα μπορεί να είναι πολύ επικίνδυνα εάν δεν μπορούν να απομακρυνθούν με φυσικό τρόπο, καθώς μπορεί να εμποδίσουν την αποβολή των υπολειμμάτων τροφής από το σώμα και να προκαλέσουν συμφόρηση των κοπράνων στα έντερα. Αυτό μπορεί να προκαλέσει τέντωμα των εντέρων με την πάροδο του χρόνου, με κίνδυνο να προκληθεί σχίσιμο στο τοίχωμα του εντέρου.
«Υπάρχουν πολλοί λόγοι για τους οποίους οι άνθρωποι βάζουν ξένα αντικείμενα στον πρωκτό τους, που κυμαίνονται από ερωτικούς λόγους (που είναι το πιο συνηθισμένο) μέχρι την ανακούφιση από τη δυσκοιλιότητα, που είναι λιγότερο συνηθισμένο», εξήγησε ο Τέιλορ.
Πιο συχνά, σε λιγότερο σοβαρές περιπτώσεις, ο χειρουργός μπορεί να αφαιρέσει το αντικείμενο μέσω του πρωκτού, ενώ σε πιο σοβαρές περιπτώσεις, κρίνεται επιβεβλημένη η χειρουργική επέμβαση στο έντερο του ασθενούς.
«Μεταξύ του 66% και του 85% των ατόμων που επισκέπτονται τα επείγοντα με αυτό το παράπονο είναι άνδρες» είπε ο Τέιλορ.
Γεννητικά όργανα
Για τον ίδιο λόγο, αρκετοί άνθρωποι έχουν σπεύσει στα επείγοντα, καθώς δεν μπόρεσαν να αφαιρέσουν αντικείμενα που ήταν μέσα στα γεννητικά τους όργανα.
«Τα συνηθισμένα ξένα κολπικά σώματα περιλαμβάνουν πιόνια ή κατεστραμμένες ενδομήτριες αντισυλληπτικές συσκευές που ο ασθενής μπορεί να ξεχάσει ή να μην αντιληφθεί ότι έχουν σπάσει», εξηγεί ο Τέιλορ.
Τα αντικείμενα που συναντούν οι γιατροί στους κόλπους γυναικών περιλαμβάνουν επίσης ταμπόν, σεξουαλικά παιχνίδια ή οικιακά αντικείμενα, όπως μπαταρίες, συνδετήρες, μπουκάλια σαμπουάν και αλουμινόχαρτο, σύμφωνα με ένα βίντεο που δημοσιεύτηκε στο TikTok από τον ουρολόγο Joshua R Gonzalez.
Αυτά μπορεί να αποτελούν κίνδυνο για μόλυνση ή ακόμη και τον σχηματισμό συριγγίου.
Οι ειδικοί έχουν δει επίσης αντικείμενα που έχουν κολλήσει στην ουρήθρα του πέους, όπως τσιμπιδάκια, βελάκια, νύχια, οδοντόβουρτσες, βελόνες πλεξίματος, ξυλάκια και οδοντογλυφίδες, αποκαλύπτει ένα άλλο βίντεο του Γκονζάλες.
Εισπνοή αντικειμένων
Συχνά, οι άνθρωποι μπορούν να εισπνεύσουν κατά λάθος μικρά αντικείμενα. Αυτό συμβαίνει κυρίως σε παιδιά, που είναι γνωστό ότι τοποθετούν αντικείμενα στο στόμα και τη μύτη τους. Εάν αυτά τα αντικείμενα σφηνωθούν στον αεραγωγό, αυτό μπορεί να προκαλέσει ασφυξία, αλλά εάν το αντικείμενο δεν προκαλέσει απόφραξη, μπορεί να παραμείνει στο σώμα για μεγάλο χρονικό διάστημα.
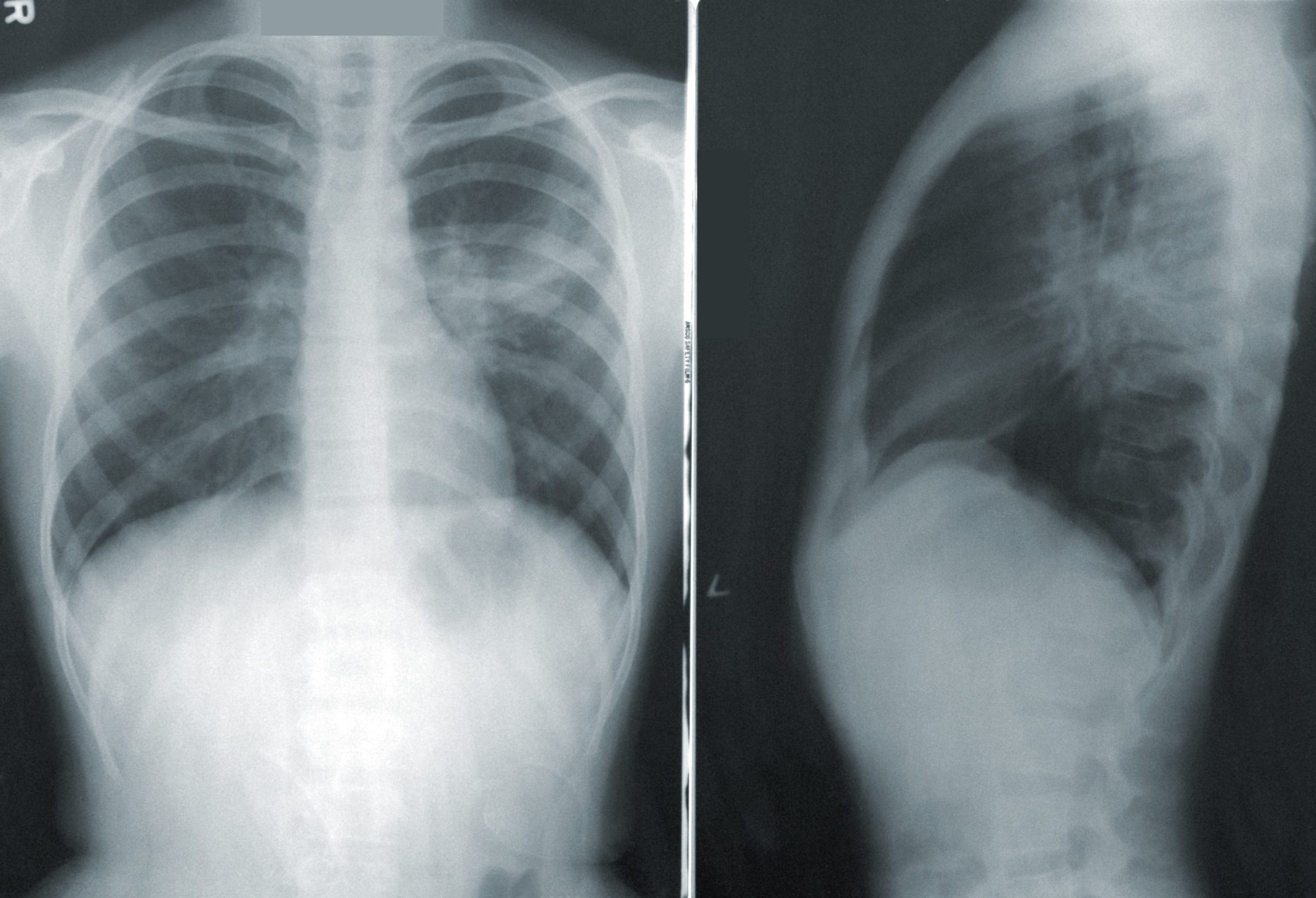
Πρόσφατα ανακαλύφθηκε ότι ένα 7χρονο κορίτσι στην Παραγουάη είχε ένα καπάκι οδοντόκρεμας κρυμμένο μέσα στον πνεύμονά της, ενώ υπάρχουν κι άλλες, πολλές, περίεργες ιστορίες αντικειμένων που παρέμεναν μέσα στο αναπνευστικό σύστημα για χρόνια και κανείς δεν το είχε παρατηρήσει.
«Ένας ταχυδρόμος από το Πρέστον της Αγγλίας, εισέπνευσε ένα εξάρτημα από Playmobil ως παιδί, αλλά ανακαλύφθηκε μόνο όταν ο 47χρονος έκανε ακτινογραφία στους πνεύμονες όταν παρουσίασε επίμονο βήχα», είπε ο Τέιλορ. «Ενώ δεν υπήρχε για 40 χρόνια ως εύρημα, ένας άνδρας εισέπνευσε ένα μπιζέλι, το οποίο βρισκόταν στη θέση του για αρκετό καιρό ώστε να αρχίσει να φυτρώνει στην αναπνευστική του οδό».
Η εισπνοή ξένων σωμάτων είναι μια από τις πιο συχνές αιτίες θανάτου σε παιδιά κάτω των τριών ετών. Μερικά από τα πιο συχνά εισπνεόμενα αντικείμενα περιλαμβάνουν μικρά αντικείμενα όπως νομίσματα, παιχνίδια ή μαγνήτες, καθώς και φιστίκια, ακόμη και χοτ ντογκ.
Κατάποση αντικειμένων
Η κατάποση ξένων σωμάτων από παιδιά έχει σχεδόν διπλασιαστεί από τη δεκαετία του 1990: Από 9,5 ανά 10.000 παιδιά σε 18 ανά 10.000 το 2015, σύμφωνα με μια μελέτη του 2019 στο περιοδικό Pediatrics. Αυτά περιλαμβάνουν μικρά αντικείμενα, όπως φρούτα, παιχνίδια, νομίσματα, ακόμα και βελόνες.
«Οι μαγνήτες αποτελούν μεγαλύτερο κίνδυνο, όταν περισσότεροι από ένας έχουν καταναλωθεί, επειδή μπορούν να προσελκύσουν ο ένας τον άλλον, προκαλώντας ρήξεις στο έντερο», είπε ο Τέιλορ. «Η κατάποση μεταλλικών αντικειμένων που σφηνώνονται, χωρίς συμπτώματα, μπορεί να αποτελέσει μελλοντικό κίνδυνο εάν περιέχουν σιδηρούχα μέταλλα, καθιστώντας τα μαγνητικά. Εάν το άτομο υποβληθεί σε μαγνητική τομογραφία, μπορεί να απομακρυνθούν ή να θερμανθούν, προκαλώντας ζημιά».
Αυτιά
Περιστασιακά, οι άνθρωποι μπορεί να βάλουν αντικείμενα στα αυτιά τους που δεν μπορούν να αφαιρέσουν μετά, όπως μπατονέτες, σπόρους και μικροσκοπικά παιχνίδια.
Μερικές φορές, ανατριχιαστικά ζουζούνια μπορούν να μπουν στα αυτιά μας, όπως μια μικροσκοπική αράχνη που έκανε φωλιά μέσα στο αυτί μιας γυναίκας στην Ταϊβάν.
«Ένας άτυχος Βρετανός ταχυδρόμος είχε την ατυχία να καταπιεί μια αράχνη, η οποία τον δάγκωσε προκαλώντας πρήξιμο στον λαιμό του και δυσκολία στην αναπνοή», είπε ο Τέιλορ.
