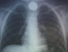
Μία περιπέτεια έζησε ένα 4χρονο παιδί την παραμονή της Πρωτοχρονιάς στο Ηράκλειο, καθώς μεταφέρθηκε στο εσπευσμένα στο νοσοκομείο αφού κατάπιε κέρμα και δεν μπορούσε να αναπνεύσει.
Άμεσα οδηγήθηκε στο ΠΑΓΝΗ με τους γιατρούς να προχωρούν σε επείγουσα αφαίρεση η οποία στέφθηκε με επιτυχία, σύμφωνα με το cretapost.gr.
Το περιστατικό γνωστοποιήθηκε από την ΩΡΛ κλινική του νοσοκομείου μέσω ανάρτησης στα κοινωνικά δίκτυα:
