Η πρώτη περίπτωση κάθετου κατάγματος σε ανδρικό μόριο – Πώς το έπαθε

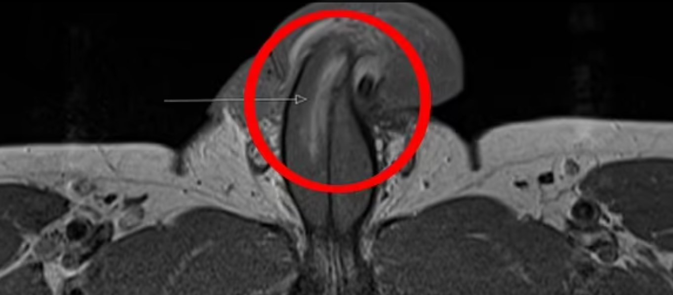
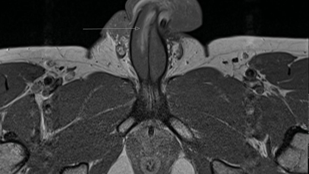
Γιατροί από τη Βρετανία κατέγραψαν την πρώτη γνωστή περίπτωση ενός ανδρικού μορίου, το οποίο έσπασε κάθετα κατά τη διάρκεια σεξουαλικής πράξης. Το μόριο του 40χρονου «αγκιστρώθηκε στο περίνεο της συντρόφου του». Πρόκειται για την περιοχή μεταξύ του πρωκτού και των γεννητικών οργάνων. Μάλιστα, προκλήθηκε ένα σκίσιμο τριών εκατοστών στη βάση του μορίου. Οι γιατροί δεν έδωσαν περισσότερες πληροφορίες για τη στάση που βρισκόταν το ζευγάρι, αλλά τα κατάγματα του πέους προκαλούνται συνήθως από συγκεκριμένες στάσεις.

Δεν υπάρχουν κόκαλα στο πέος, αλλά τα κατάγματα συνήθως συμβαίνουν όταν το πέος ενός άνδρα γλιστρά έξω από τη σύντροφό του και ξαφνικά κάμπτεται, γεγονός που μπορεί να προκαλέσει οδυνηρό πρήξιμο. Οι γιατροί που φρόντισαν τον ασθενή, που πιστεύεται ότι ήταν από την Υόρκη, αποκάλυψαν την ιστορία σε μια αναφορά περίπτωσης στο British Medical Journal.

Είπαν ότι όλα τα κατάγματα του πέους που είχαν καταγραφεί στο παρελθόν ήταν οριζόντια. Αλλά σε αυτή την περίπτωση χωρίζει το tunica albuginea – το προστατευτικό στρώμα γύρω από τον στυτικό ιστό που αντλεί αίμα σε αυτήν την περιοχή. Ο γιατρός είπε ότι δεν ακούστηκε ήχος «αναδυόμενου» όταν συνέβη το σπάσιμο, το οποίο συμβαίνει όταν τα κατάγματα είναι οριζόντια. Τα σηραγγώδη σώματα συγκρατούνται από μια ισχυρή μεμβράνη που ονομάζεται ινώδης χιτώνας. Όταν ένας άνδρας υποφέρει από κάταγμα πέους, ουσιαστικά έχει σπάσει αυτή η ισχυρή μεμβράνη.

Όπως αναφέρει η Dailymail ο χαρακτηριστικός ήχος που ακούγεται στις περιπτώσεις σπασίματος δεν υπήρξε, επειδή αυτό συμβαίνει μόνο στις περιπτώσεις που είναι οριζόντιο το κάταγμα.

Έξι μήνες μετά τη θεραπεία για τον τραυματισμό, οι γιατροί ανέφεραν ότι ο ασθενής “είχε την ικανότητα να έχει στύση, όπως και πριν από τον τραυματισμό του”. Δεν υπήρξε μόνιμη βλάβη ή σημάδι.

Οι ουρολόγοι δήλωσαν ότι το 88,5% των καταγμάτων του πέους συμβαίνει κατά τη διάρκεια του σεξ, με μια μελέτη 20 ετών να διαπιστώνει ότι το «doggy style» και «man on top» ήταν οι πιο συχνά κατηγορούμενες θέσεις για τραυματισμούς. Άλλες αιτίες του σπασίματος του πέους περιλαμβάνουν τον αυνανισμό, τη θέση του ύπνου και το taqaandan – την πρακτική της κάμψης του πέους, η οποία γίνεται κυρίως στις χώρες της Μέσης Ανατολής.

Οι άνδρες στα 40 τους είναι πιο πιθανό να παρουσιάσουν κάταγμα στο πέος, που αντιστοιχεί σε έως και επτά στις 10 περιπτώσεις. Η Βρετανική Ένωση Ουρολόγων Χειρουργών συνιστά την επέμβαση σε σπασμένο πέος εντός 24 ωρών για τη μείωση του κινδύνου μακροχρόνιων προβλημάτων, όπως η στυτική δυσλειτουργία. Από το 1924, έχουν καταγραφεί 1.600 περιπτώσεις παγκοσμίως – περίπου 16 περιπτώσεις ετησίως.

Μοιράσου το:

σχολίασε κι εσύ

ENIKOS NETWORK