Μπροστά σε μία μάλλον ασυνήθιστη περίπτωση βρέθηκαν οι γιατροί όταν κλήθηκαν αν εξετάσουν μία γυναίκα, η οποία παραπονιόνταν για έντονο πόνο στο κάτω μέρος της πλάτης της.
Μια 20χρονη γυναίκα από την Ταϊβάν υποβλήθηκε πρόσφατα σε χειρουργική επέμβαση για την αφαίρεση όχι λιγότερων από 300 μικρών λίθων από το δεξί της νεφρό.
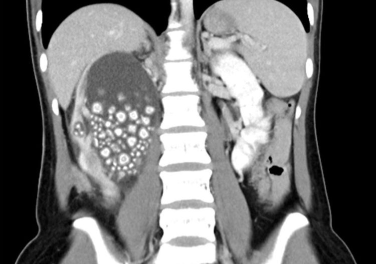
Η 20χρονη εισήχθη σε νοσοκομείο της πόλης Taina, αφού παραπονέθηκε για έντονο πόνο στο κάτω μέρος της πλάτης της. Είχε επίσης πυρετό και μια εξέταση αίματος έδειξε ασυνήθιστα υψηλό αριθμό λευκών αιμοσφαιρίων. Οι γιατροί διέταξαν αξονική τομογραφία η οποία έδειξε ότι το δεξί νεφρό της Yu γεμάτο πέτρες. Αν και πρώτη ενέργειά τους ήταν να χορηγηθούν στη νεαρή γυναίκα αντιβιοτικά, στη συνέχεια προχώρησαν στην αφαίρεση των εκατοντάδων λίθων.

Στο τέλος, οι γιατροί κατέληξαν να αφαιρέσουν πάνω από 300 πέτρες, μεγέθους μεταξύ 5 και 2 εκατοστών. Η ασθενής τους ενημέρωσε ότι δεν έπινε σχεδόν καθόλου νερό και προτιμούσε τα ζαχαρούχα τσάγια και χυμούς για ενυδάτωση. Αυτό της προκάλεσε χρόνια αφυδάτωση.
Οι γιατροί του νοσοκομείου Chi Mei στο Tainan προέτρεψαν το κοινό να πίνει άφθονο νερό για να διασφαλιστεί ότι ο οργανισμός μπορεί να επεξεργαστεί την πρόσληψη σακχάρων, αλατιού και ασβεστίου, χρησιμοποιώντας την συγκεκριμένη περίπτωση ως παράδειγμα για το τι μπορεί να συμβεί σε ακραίες περιπτώσεις αφυδάτωσης.
