Άκρως αποκαλυπτικός για τον 26χρονο Λουίτζι Μαντζιόνε που φέρεται να δολοφόνησε τον Brian Thompson, CEO της ασφαλιστικής UnitedHelathcare, την Τετάρτη (4/12) στο Μανχάταν της Νέας Υόρκης.
Όπως λέει ο Αρ Τζέι Μάρτιν, συγκάτοικος του Μαντζιόνε για έξι περίπου μήνες σε ένα κοινόβιο στη Χαβάη, ο 26χρονος φερόμενος ως δολοφόνος του CEO της UnitedHealthcare δεν ήταν σε θέση να κάνει σεξ ή να έχει τρυφερές στιγμές με κάποιον άνθρωπο λόγω της σοβαρότητας του τραυματισμού που είχε στη σπονδυλική του στήλη.
«Είχε μεγάλο πρόβλημα και οι πόνοι που είχε ήταν φρικτοί», λέει ο Μάρτιν που ομολογεί ότι είχε φτάσει σε σημείο να τον λυπάται όταν του περιέγραφε πόσο άσχημα ένιωθε. «Μου είπε πως λόγω του προβλήματος υγείας που είχε δεν μπορούσε να κάνει σεξ, αλλά ούτε και προκαταρκτικά με οποιονδήποτε σύντροφο μπορεί να είχε», λέει χαρακτηριστικά.
Δείτε σχετική φωτογραφία

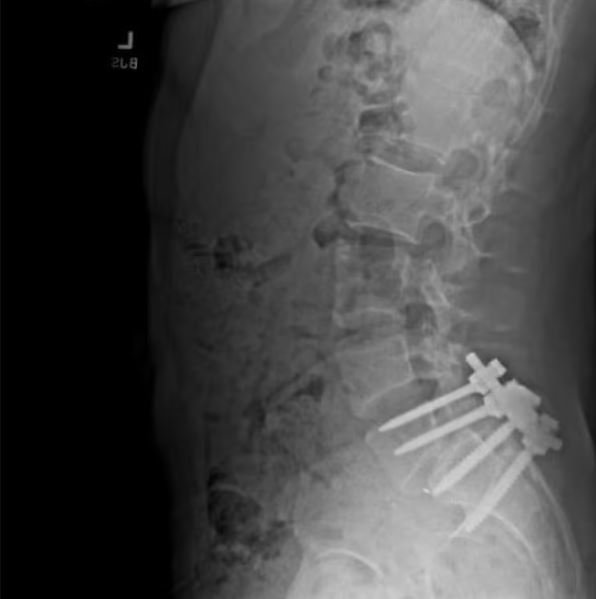
Όπως εξηγεί, ο Μαντζιόνε είχε πάθει παλιότερα μια σοβαρή κατάσταση που ονομάζεται σπονδυλολίσθηση, κατάσταση που χειροτέρεψε έπειτα από μια απόπειρά του να κάνει σερφ κατά τη διάρκεια της παραμονής του στη Χαβάη. «Η σπονδυλική του στήλη δεν ευθυγραμμιζόταν. Μου περιέγραφε την κατάσταση λέγοντας ότι οι κάτω σπόνδυλοι ήταν προεξείχαν κατά μιάμιση ίντσα με αποτέλεσμα να επηρεάζεται σημαντικά ένα νεύρο που τον εμπόδιζε από το να κινείται ελεύθερα», συνεχίζει ο πρώην συγκάτοικος του φερόμενου ως δράστη.
Μάλιστα, όπως λέει ο ίδιος, ένα μάθημα σερφ που αποπειράθηκε να κάνει τον άφησε για μια εβδομάδα στο κρεβάτι. «Είναι δράμα και ιδιαίτερα τραυματικό όταν ένας νέος άνθρωπος στα 20 του δεν μπορεί να κάνει βασικά πράγματα», προσθέτει ο Μάρτιν.
Δείτε σχετική ανάρτηση
7 years ago, I gave my hs senior speech on this topic: “Today, I will be talking to you about the future, about topics ranging from conscious artificial intelligence to human immortality. Likely, you’ll dismiss all this pretty quickly as interesting, but just science fiction…” https://t.co/xJs8H1Q2Nl
— Luigi Mangione (@PepMangione) December 8, 2022
Πάντως, ο πρώην συγκάτοικος του Μαντζιόνε αποκάλυψε ότι ο τελευταίος δεν είχε δώσει ποτέ την εντύπωση ότι ήταν θυμωμένος με τις ασφαλιστικές ή ότι είχε ριζοσπαστικές απόψεις. Μάλιστα, όπως λέει δεν τον είχε δει και δεν είχε ακούσει ότι ο 26χρονος έπαιρνε αναλγητικά και παυσίπονα λόγω του προβλήματός του, ενώ και ο ίδιος ποτέ δεν παραπονιόταν για πόνους.
Πάντως, όπως έχει αναφερθεί το θέμα με την πλάτη του είχε προκαλέσει στον Μαντζιόνε και επαγγελματικά προβλήματα, καθώς εργαζόταν ως μηχανικός για μια διαδικτυακή εταιρεία πώλησης αυτοκινήτων.
Δείτε σχετική φωτογραφία

O Μαντζιόνε φέρεται να έχει κάνει και μια ανάρτηση σε ιστοσελίδα κοινωνικής δικτύωσης, χωρίς να αναφέρει τα πραγματικά του στοιχεία, όπου αναφερόταν στο είδος του τραυματισμού που είχε και τα προβλήματα που αυτός του προκαλούσε. Εκτός από αυτό, στην ίδια ανάρτηση ο 26χρονος, ανέφερε ότι έπασχε κι από βορρελίωση, γνωστή κι ως Νόσος του Lyme, που του προκαλούσε – όπως ανέφερε – εγκεφαλική σύγχυση πυκνά συχνά.
Στην ίδια ανάρτηση, που ήταν μια κατάθεση ψυχής, ο 26χρονος φέρεται να έγραψε ότι το πρόβλημα με την πλάτη του το είχε πάθει έπειτα από τη «διαβολοβδομάδα» που πέρασε για να μπει σε μια αδελφότητα στο πανεπιστήμιο που φοίτησε, ένα… έθιμο που ακολουθούν πολλές τέτοιες οργανώσεις στα αμερικανικά πανεπιστήμια, κατά το οποίο οι υποψήφιοι περνούν διάφορες φυσικές δοκιμασίες προκειμένου να γίνουν δεκτοί σε αυτές. Μάλιστα, έκανε λόγο για «κλειδωμένους γοφούς και πόδια», κατάσταση που του προκαλούσε ένα διαρκές μούδιασμα. «Τρέμω για τις συνέπειες…», έγραψε μεταξύ άλλων.
Δείτε σχετική φωτογραφία

Αρκετές εβδομάδες έπειτα από αυτό, ο Μαντζιόνε φέρεται να υποβλήθηκε σε επέμβαση για να μειώσει τα επίπονα συμπτώματα που είχε η οποία είχε κοστίσει αρκετές δεκάδες χιλιάδες δολάρια, χωρίς όμως να γίνεται αναφορά για το αν είχε ιδιωτική ασφάλιση ή όχι. Μάλιστα, δεν έκανε καμιά αναφορά στη UnitedHealthcare ώστε να μπορεί κανείς να τον συνδέσει με τη δολοφονία του Thompson.
Μάλιστα, ο Μαντζιόνε είχε ποστάρει στον προσωπικό του λογαριασμό και μια ακτινογραφία που είχε βγάλει, στην οποία αποτυπωνόταν πλήρως η σοβαρότητα της κατάστασης.
Δείτε σχετική φωτογραφία

Ο φερόμενος ως δράστης προέρχεται από ιδιαίτερα εύπορη οικογένεια, με τον παππού του να είναι αυτοδημιούργητος πολυεκατομμυριούχος που είχε στην κατοχή του ένα πολυτελές θέρετρο διακοπών, γηροκομεία και έναν ραδιοφωνικό σταθμό.
Πήγαινε σε ιδιωτικό σχολείο, τα δίδακτρα του οποίου κόστιζαν 40 χιλιάδες δολάρια ετησίως, ενώ σε ένα βίντεο που κάνει τον γύρο του διαδικτύου, έπειτα από τη σύλληψη του τον δείχνει να μιλάει με αυτοπεποίθηση και εύγλωττα στη σκηνή, με έναν πρώην συμμαθητή να τον περιγράφει ως εξαιρετικά έξυπνο.
Σημειώνεται ότι η οικογένειά του έστειλε τα συλλυπητήριά της στην οικογένεια του Brian Thompson και έκανε έκκληση για προστασία της ιδιωτικής της ζωής από τα media.
Δείτε βίντεο από τη προσαγωγή του Μαντζιόνε σε δικαστήριο της Νέας Υόρκης
