Νέα φάρμακα-ελπίδα για τον καρκίνο του πνεύμονα

Νέα φάρμακα-ελπίδα για τον καρκίνο του πνεύμονα

Υπάρχουν νέα φάρμακα, τα οποία αυξάνουν σημαντικά το προσδόκιμο επιβίωσης και κυρίως την ποιότητα ζωής στους ασθενείς με καρκίνο του πνεύμονα, ενώ νέες ογκολογικές θεραπείες όλων των επιμέρους ογκολογικών υποειδικοτήτων, συμβάλλουν στην ίδια κατεύθυνση.

Αυτό προκύπτει ως συμπέρασμα από τις εργασίες του ογκολογικού συμποσίου, με θέμα “Καρκίνος πνεύμονα: Από τη διάγνωση στη θεραπεία”, που πραγματοποιήθηκε πρόσφατα στο Ιατρικό Διαβαλκανικό Θεσσαλονίκης, σύμφωνα με το Αθηναϊκό-Μακεδονικό Πρακτορείο.

Υπάρχουν 3-4 νέα φάρμακα, με πολύ σημαντικά θεραπευτικά αποτελέσματα, αλλά η πλέον υποσχόμενη εξέλιξη για την αντιμετώπιση του καρκίνου του πνεύμονα, είναι η ανοσοθεραπεία, δηλαδή η ενίσχυση του οργανισμού του ασθενούς για να αντιμετωπίσει τον καρκίνο, ανέφερε ο Ματ Κρεμπς, διευθυντής Ογκολογίας στο Κέντρο Ογκολογίας του νοσοκομείου “The Christie” και λέκτορας στο Τμήμα Έρευνας νέων φαρμάκων για την αντιμετώπιση του καρκίνου, στο Πανεπιστήμιο του Μάντσεστερ.

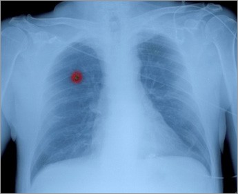
Η θεραπεία του καρκίνου του πνεύμονα μπορεί να οδηγήσει σε ίαση, μόνο εάν διαγνωστεί σε αρχικό στάδιο και χειρουργηθεί, γι΄ αυτό η μέγιστη έμφαση πρέπει να δοθεί στην πρόληψη, τόνισε ο κορυφαίος καρδιοθωρακοχειρουργός, διευθυντής του προγράμματος καρδιοχειρουργικής στο Ιδιωτικό Κέντρο “Area Health” στη Φιλαδέλφεια των ΗΠΑ και ιατρικός σύμβουλος της ηγεσίας των ΗΠΑ, Νίτσε Ζάμα.

Ο κ. Ζάμα επεσήμανε ότι οι ασθενείς υψηλού κινδύνου (καπνιστές, εργαζόμενοι σε περιβάλλον που προκαλεί επιβάρυνση στο αναπνευστικό κ.ά.), θα πρέπει να υποβάλλονται σε περιοδικό έλεγχο, που περιλαμβάνει εξέταση σε πολυτομικό αξονικό τομογράφο με πρόγραμμα χαμηλής επιβάρυνσης στην ακτινοβολία για την πρώιμη διάγνωση του καρκίνου του πνεύμονα.

 

Μοιράσου το:

σχολίασε κι εσύ

ENIKOS NETWORK