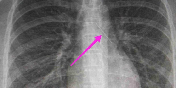
Μία μεγάλη περιπέτεια με την υγεία της πέρασε ένα κορίτσι, στη Θεσσαλονίκη. Η ανήλικη μεταφέρθηκε στα Επείγοντα του “Ιπποκράτειου” Νοσοκομείου συνοδευόμενη από τους γονείς της, το μεσημέρι της Κυριακής. Οι ίδιοι ανέφεραν ότι το παιδί κατάπιε μία καρφίτσα και, όπως διαπιστώθηκε από την αξονική τομογραφία θώρακος, η καρφίτσα είχε σφηνώσει στον αριστερό κύριο βρόγχο.
Κατά τη διάρκεια της βρογχοσκόπησης στην οποία υποβλήθηκε, στη χειρουργική αίθουσα, διαπιστώθηκε ότι η καρφίτσα μετακινήθηκε και σφήνωσε στον δεξιό κύριο βρόγχο. Όπως αναφέρεται σε ανάρτηση του “Ιπποκράτειου” Νοσοκομείου, έπειτα από προσπάθειες τελικά αφαιρέθηκε με επιτυχία το μεταλλικό αντικείμενο και η ανήλικη ανένηψε πλήρως. Αυτή τη στιγμή νοσηλεύεται στην Γ’ Παιδιατρική Κλινική.
Η ανάρτηση του “Ιπποκράτειου” και οι φωτογραφίες
Αναλυτικά, το “Ιπποκράτειο” Νοσοκομείο Θεσσαλονίκης αναφέρει σε ανάρτησή του:
“Χθες 30/1/2022 στις 16:00 στο Τ.Ε.Π. του ΓΝΘ Ιπποκράτειο, προσήλθε ανήλικη συνοδευόμενη από τους γονείς της, μετά από αναφερόμενη κατάποση ξένου σώματος (καρφίτσα). Από την απεικονιστική διερεύνηση που πραγματοποιήθηκε με ακτινογραφία θώρακος αρχικά και ακολούθως με αξονική τομογραφία θώρακος, διαπιστώθηκε η ύπαρξη αιχμηρού μεταλλικού ξένου σώματος στην αναπνευστική οδό (αριστερός κύριος βρόγχος) και όχι στην πεπτική οδό.
Πραγματοποιήθηκε πλήρης προεγχειρητικός έλεγχος και RAPID PCR (COVID-19), και μετά την λήψη συγκατάθεσης των γονέων που συνόδευαν την ασθενή, οδηγήθηκε στη χειρουργική αίθουσα. Μετά από την χορήγηση γενικής αναισθησίας από την ιατρό Αναισθησιολόγο, Διευθύντρια κα Μαρία Μυλωνά (για την διεκπεραίωση του ιδιαίτερου αυτού περιστατικού) υποβλήθηκε σε βρογχοσκόπηση με άκαμπτο βρογχοσκόπιο από τους Ιατρούς Ω.Ρ.Λ., Καρασμάνη Ηλία και Μαγγανάρη Αργύρη, Επιμ Α’ της ΩΡΛ Κλινικής του Γ.Ν.Θ. «Ιπποκράτειο».
Κατά την βρογχοσκόπηση διαπιστώθηκε η μετακίνηση και ενσφήνωση του ξένου σώματος στον δεξιό κύριο βρόγχο. Μετά οπό εργώδεις προσπάθειες ολοκληρώθηκε με επιτυχία η αφαίρεση αυτού. Η ασθενής ανένηψε πλήρως εντός της χειρουργικής αίθουσας. Η ασθενής μεταφέρθηκε για παρακολούθηση και νοσηλεία στη Γ’ Παιδιατρική Κλινική.
Η Διοίκηση του Νοσοκομείου ευχαριστεί το σύνολο των εργαζομένων οι οποίοι συμμετείχαν στην επιτυχή έκβαση της περιπέτειας της ασθενούς”.
