Το χρώμα των ματιών καθορίζεται από το γονίδιο OCA2 που ελέγχει την ποσότητα της μελανίνης που δημιουργεί ένα σώμα, η οποία επηρεάζει στο 74% το χρώμα, ενώ το υπόλοιπο επηρεάζεται από άλλους παράγοντες στο DNA. Τα περισσότερα ανθρώπινα μάτια είναι καφέ ή μπλε, ενώ τα σπάνια χρώματα είναι αυτά που θα δείτε στη συνέχεια.
1. Πράσινο

Είναι το λιγότερο σπάνιο από τα σπάνια, καθώς βρίσκεται σε όλο τον κόσμο, αλλά μόνο περίπου το 2% του συνολικού παγκόσμιου πληθυσμού το έχει. Αυτό το χρώμα παράγεται από μια μεγάλη ποσότητα μελανίνης στην ίριδα κατά την ανάπτυξη, η οποία είναι αποτέλεσμα γενετικής.
2. Πορτοκαλί

Συχνά οι άνθρωποι που έχουν πορτοκαλί χρώμα στα μάτια αποκαλούνται “οι άνθρωποι με τα μάτια του λύκου”. Αυτό το χρώμα ματιών αποτελείται από μία χρυσοκίτρινη χρωστική ουσία που ονομάζεται Lipochrome, και πολύ λίγοι άνθρωποι την έχουν.
3. Κόκκινο

Το κόκκινο χρώμα στα μάτια συναντάται σε ανθρώπους αλμπίνο, που έχουν κατ’ επέκταση πρόβλημα με τη χρωστική και τη μελανίνη στον οργανισμό τους. Ωστόσο, υπάρχουν και μερικές σπάνιες περιπτώσεις στις οποίες οι άνθρωποι χωρίς προβλήματα στη χρωστική τους ουσία έχουν κόκκινα μάτια, ως αποτέλεσμα μιας μικρής διαρροής αίματος εντός της ίριδας που προκαλεί την απόχρωση αυτή.
4. Βιολετί

Όταν δεν υπάρχει αρκετή χρωστική στην ίριδα για να καλύψει τα αιμοφόρα αγγεία, το φως που ανακλάται κάνει τα μάτια να φαίνονται βιολετί. Σπάνια περίπτωση και εντυπωσιακή!
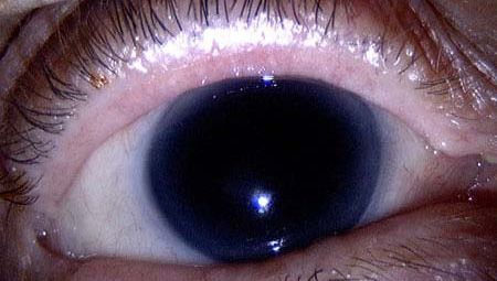
5. Μαύρο

Αν και πολλοί πιστεύουν ότι μαύρα μάτια δεν υπάρχουν αλλά είναι απλώς σκούρα καστανά, το 1% του παγκόσμιου πληθυσμού το έχει. Όσοι το έχουν προκαλούν εντύπωση καθώς είναι σχεδόν αδύνατον να διακρίνει κανείς την ίριδα του ματιού τους. Αυτό το χρώμα είναι σχετικά συχνό σε ανθρώπους αφρικανικής καταγωγής, Ασιάτες και ιθαγενείς της Αμερικής.
Πηγή: perierga.gr