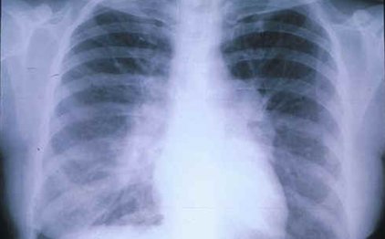
Ελπιδοφόρα μηνύματα για την οριστική νίκη εναντίον του καρκίνου του πνεύμονα. Αμερικανοί ερευνητές επισημαίνουν ότι περισσότεροι από τους μισούς όγκους του πλακώδους καρκινώματος των πνευμόνων, της πιο συνηθισμένης μορφής της νόσου, οφείλονται σε μεταλλάξεις που ελέγχουν την ανάπτυξη των κυττάρων και μπορούν να αντιμετωπισθούν με μια νέα γενιά φαρμάκων, τα οποία ήδη παρασκευάζονται.Ωστόσο, καθώς οι μεταλλάξεις είναι διαφορετικές σε κάθε ασθενή, εξατομικευμένη πρέπει να είναι και η φαρμακευτική αγωγή που χορηγείται.Πηγή: Καθημερινή
σχολίασε κι εσύ
Ακολουθήστε το Enikos στο Google News και μάθετε πρώτοι όλες τις ειδήσεις
Δείτε όλες τις τελευταίες ειδήσεις από την Ελλάδα και τον Κόσμο στο enikos.gr
Ειδήσεις
Ροή Ειδήσεων
ENIKOS NETWORK
Ενημερωτικές δράσεις για τη δωρεά οργάνων και τις μεταμοσχεύσεις από το Ίδρυμα Ωνάση