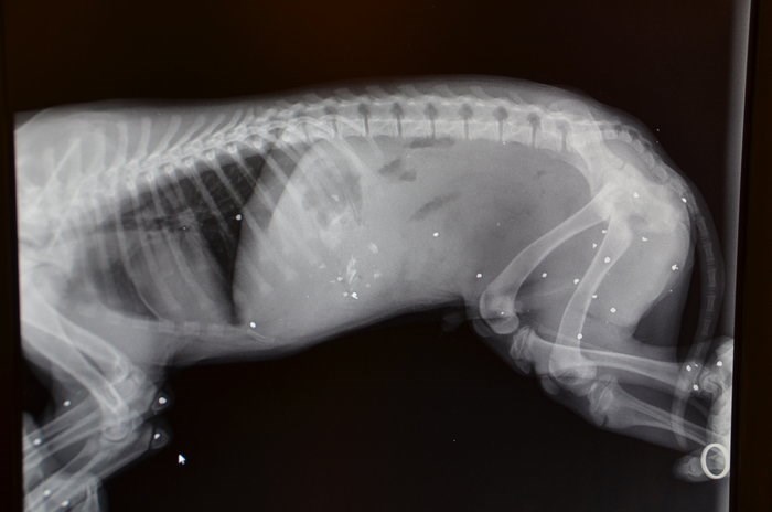
Ένα φρικιαστικό περιστατικό επίθεσης σε αδέσποτο ζώο σημειώθηκε στο Άργος, όταν ένας ασυνείδητος πολίτης πυροβόλησε ένα κουταβάκι μόλις τριών μηνών.Σύμφωνα με την καταγγελία του Φιλοζωικού Συλλόγου Άργους Λάιζα «βρίσκεται ήδη σε εξέλιξη η αυτόφωρη διαδικασία για τον συγκεκριμένο υπάνθρωπο που βγήκε και πυροβόλησε ένα κουτάβι τριών μηνών με εννιάρια φυσίγγια. Όπως επιβάλει ο νόμος, θα οριστεί δικάσιμος και θα οδηγηθεί στη δικαιοσύνη από την μάρτυρα που τον κατήγγειλε και από την αυτεπάγγελτη μήνυση της αστυνομίας».Αμέσως ενημερώθηκε ο Σύλλογος και έσπευσε στο σημείο μαζί με την Ασφάλεια Άργους, όπου και μετέφεραν το μικρό κουτάβι στον κτηνίατρο.Έπειτα από ακτινογραφίες, διαπιστώθηκαν πάνω από 25 θραύσματα μέσα στο κορμάκι του.


Πηγή: argolikeseidhseis.gr