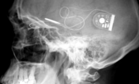
Με μια πρωτοποριακή χειρουργική μέθοδο δυο Βρετανοί που ήταν πλήρως τυφλοί, κατάφεραν να ανακτήσουν την όραση τους. Τους εμφύτευσαν στον αμφιβληστροειδή ένα ειδικό ηλεκτρονικό τσιπ, και πλέον μπορούν να αντιλαμβάνονται το φως αλλά και να ξεχωρίζουν τα σχήματα στον χώρο.Σύμφωνα με το iatropedia.gr, η επέμβαση έγινε στο οφθαλμολογικό νοσοκομείο της Οξφόρδης από την ομάδα του καθηγητή Robert Mac Laren, και ο ένας από τους 2 ασθενείς είναι Ελληνικής καταγωγής. Και οι 2 ασθενείς είχαν χάσει την όραση τους από μια σπάνια ασθένεια των οφθαλμών, την μελαγχρωστική αμφιβληστροειδοπάθεια. Σε αυτή την ασθένεια παύουν να λειτουργούν σταδιακά, τα κύτταρα φωτουποδοχείς στο πίσω μέρος του ματιού.Το απίστευτα λεπτό και μικρό τσιπ που τοποθετήθηκε στο πίσω μέρος του ματιού των 2 ασθενών ανέλαβε να κάνει ακριβώς αυτή τη δουλειά. Τα 1500 φωτοευαίσθητα pixels, που έχει πάνω του, παίζουν πλέον τον ρόλο των ράβδων και των κώνων. Το φως που μπαίνει στο μάτι διεγείρει τα pixels, έτσι το μάτι το αντιλαμβάνεται, και στέλνει μήνυμα στο οπτικό νεύρο και από εκεί στον εγκέφαλο.Ο καθηγητής Mac Laren τονίζει ότι: «είναι η πρώτη φορά που με την βοήθεια της τεχνολογίας καταφέραμε να επανενεργοποιήσουμε τον αμφιβληστροειδή, σε ανθρώπους που ήταν εντελώς τυφλοί. Πλέον μπορούν να αντιλαμβάνονται το φως που μπαίνει μέσα από το παράθυρο, καθώς και διάφορα σχήματα. Μπορούν επίσης να ξεχωρίζουν τα έπιπλα και που βρίσκεται η πόρτα. Μέχρι στιγμής τα βλέπουν όλα ασπρόμαυρα αλλά είμαστε αισιόδοξοι ότι θα καταφέρουμε να τα βλέπουν και έγχρωμα…»Μέχρι στιγμής οι επιστήμονες τονίζουν ότι το συγκεκριμένο τσιπ μπορεί να ανακουφίσει ανθρώπους με την συγκεκριμένη ασθένεια και όχι εκείνους που πάσχουν από γλαύκωμα, ή νόσους του οπτικού νεύρου, ή την εκφύλιση της ωχράς κηλίδας.
σχολίασε κι εσύ
Ακολουθήστε το Enikos στο Google News και μάθετε πρώτοι όλες τις ειδήσεις
Δείτε όλες τις τελευταίες ειδήσεις από την Ελλάδα και τον Κόσμο στο enikos.gr
Ειδήσεις
Ροή Ειδήσεων
48 λεπτά πριν
Κομισιόν σε Τραμπ για τους δασμούς: «Θα διατηρήσουμε ανοιχτές τις επιλογές μας για την προστασία των συμφερόντων της ΕΕ»
2 ώρες πριν
Αριθμολογία: Οι 4 ημερομηνίες γέννησης με την πιο ισχυρή ενέργεια – «Μην τα βάλετε μαζί τους»
ENIKOS NETWORK
Πώς να χρησιμοποιήσετε την ψυχολογία των χρωμάτων για να προσελκύσετε τον έρωτα της ζωής σας