Γιατροί αφαίρεσαν περισσότερα από 100 μεταλλικά αντικείμενα από το στομάχι 52χρονου – ΦΩΤΟ

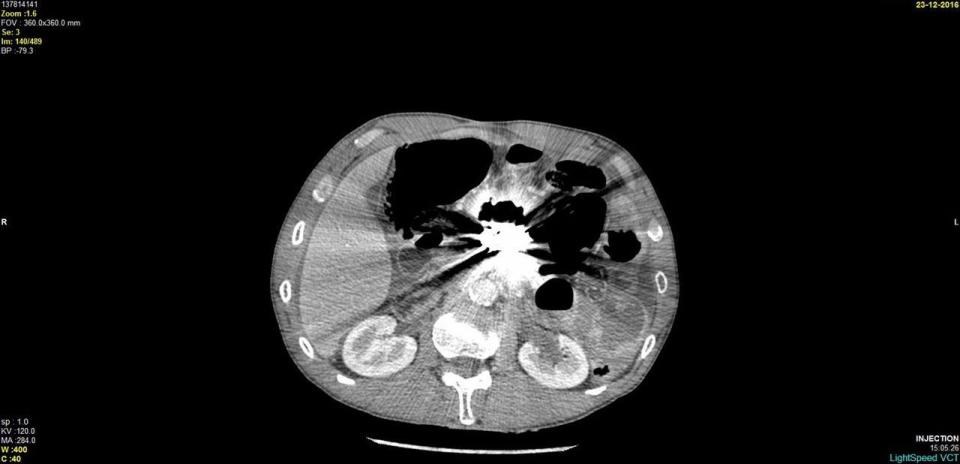
Περισσότερα από 100 κομμάτια μετάλλων διαφόρων σχημάτων και μεγεθών, τα οποία είχε καταπιεί λόγω ψύχωσης, αφαίρεσαν από το στομάχι ενός άνδρα, Γάλλοι χειρουργοί.

Ο 52χρονος, παρόλο που έκανε αντιψυχωσική θεραπεία με φάρμακα, είχε συνεχώς την τάση να καταπίνει μεταλλικά αντικείμενα, όπως κουταλάκια, νομίσματα, καρφιά, βίδες, μικρά μαχαίρια, μεταλλικά ξυραφάκια κ.ά.

Σταδιακά ορισμένα μεταλλικά αντικείμενα, που είχαν χωνευθεί μόνο εν μέρει ή καθόλου, είχαν σχηματίσει ενιαίες μεταλλικές μάζες μέσα στο στομάχι του, τόσο μεγάλες που είχαν φράξει τον πυλωρό, το στόμιο που συνδέει το στομάχι με το λεπτό έντερο, πράγμα που εμπόδιζε το άδειασμα του στομαχιού του από το περιεχόμενό του.

Ο άνδρας είχε πάει πέντε φορές στα επείγοντα περιστατικά των νοσοκομείων σε διάστημα πέντε ετών, παραπονούμενος για στομαχόπονους, ναυτίες και εμετούς με αίμα. Σε τέσσερις περιπτώσεις οι γιατροί χρειάσθηκε να τον εγχειρίσουν για να αφαιρέσουν μεταλλικές μάζες από το στομάχι του, κάτι που δεν ήταν δυνατό να γίνει μόνο με το ενδοσκόπιο.

Την πέμπτη και χειρότερη φορά, πριν μερικούς μήνες, αποκαλύφθηκε ότι τα μεταλλικά αντικείμενα είχαν ανοίξει τρύπα στο στομάχι του. Οι γιατροί δήλωσαν έκπληκτοι που κάτι τέτοιο δεν είχε συμβεί πολύ πιο συχνά, αν λάβει κανείς υπόψη του τα κοφτερά αντικείμενα (π.χ. ξυραφάκια) που ο άνδρας κατάπινε. Αλλά, όπως είπαν, τα τοιχώματα του στομαχιού μπορεί τελικά να αποδειχθούν πολύ ανθεκτικά και να επουλώσουν τις πληγές τους.

Στο ερώτημα γιατί κάποιος να καταπιεί σκοπίμως τόσα πολλά μεταλλικά ή άλλα αντικείμενα, δεν υπάρχει εύκολη απάντηση. Συνήθως είναι μια συμπεριφορά που έχουν άνθρωποι με ψυχικές διαταραχές ή φυλακισμένοι. Οι ψυχωσικοί μπορεί να ακούνε εσωτερικές φωνές που τους λένε να καταπιούν τα αντικείμενα, ενώ άλλοι άνθρωποι το κάνουν από μία τάση να κάνουν κακό στον εαυτό τους.

Η θεραπεία είναι δύσκολη, καθώς αν κάποιος έχει την τάση να καταπίνει ασυνήθιστα και επικίνδυνα αντικείμενα, συνήθως θα το κάνει ξανά και ξανά, ακόμη κι αν αυτό του προκαλεί πόνους ή ιατρικά προβλήματα.

Οι Γάλλοι γιατροί από νοσοκομείο του Πουασί, με επικεφαλής τον δρα Elias Chahine, έκαναν τη δημοσίευση της περίπτωσης του άνδρα στο βρετανικό περιοδικό για ασυνήθιστα ιατρικά περιστατικά “BMJ Case Reports”. Πηγή πληροφοριών: ΑΠΕ – ΜΠΕ, πηγή φωτο: BMJ

Μοιράσου το:

σχολίασε κι εσύ

ENIKOS NETWORK